Nóng 24h qua: Nghiên cứu mới nhất về thời gian ủ bệnh của nCov - lên tới 24 ngày 12/02/2020 Cá Koi Nhật Bản chuyển từ sông Tô Lịch sang Hồ Tây sống ra sao?, Đâm chết vợ vì không chịu nấu cơm... là tin nóng 24h qua.
'Virus' hủy diệt' mới trong lòng dịch nCoV 09/02/2020 "Phòng, ngừa, hiểu biết về dịch bệnh là cần thiết. Nhưng phát cuồng lên vì dịch bệnh là tự tạo ra một loài virs khác – virus sợ hãi. Thứ đó còn hủy diệt người ta ghê gớm hơn Corona nữa”.
WHO nói gì về những tin đồn xoay quanh virus Corona mới 08/02/2020 Trước tình hình nạn dịch viêm phổi virus Corona Vũ Hán (Trung Quốc) đang diễn biến phức tạp, bên cạnh những tin y tế giúp người dân phòng ngừa dịch cũng không ít tin giả gây hoang mang cho người dân.
Lơ là phòng chống dịch corona, Hiệu trưởng bị xem xét điều chuyển công tác 05/02/2020 Do chủ quan trong công tác phòng chống dịch corona, Hiệu trưởng trường THPT Mạc Đĩnh Chi (quận Dương Kinh, TP Hải Phòng) sẽ bị xem xét điều chuyển công tác.
Dừng tiếp nhận lao động nước ngoài đến từ các vùng có dịch virus Corona 05/02/2020 Trước các diễn biến phức tạp mới của dịch do virus Corona (nCoV), Bộ LĐ-TB&XH yêu cầu các đơn vị, doanh nghiệp dừng tiếp nhận lao động từ Trung Quốc, về quê ăn Tết, quay trở lại Việt Nam làm việc và lao động là người nước ngoài di chuyển qua các vùng dịch trong thời gian công bố dịch bệnh nCoV.
TP.HCM phát hiện cửa hàng bán gần 1.000 khẩu trang lậu 04/02/2020 Cục Quản lý thị trường TP.HCM cho biết đang tiếp tục thực hiện ý kiến chỉ đạo của Tổng cục Quản lý thị trường về việc tăng cường phối hợp phòng, chống dịch bệnh viêm phổi cấp và dịch tả heo châu Phi.
Trắng đêm 'truy lùng cặp tình nhân đến từ Vũ Hán' 04/02/2020 Cặp tình nhân đến từ Vũ Hán bất ngờ xuất hiện đặt phòng resort rồi đi siêu thị khiến các tổ phản ứng nhanh với dịch Corona căng như dây đàn.
Sức khỏe nữ lễ tân khách sạn nhiễm nCoV ở Khánh Hòa hiện ra sao? 04/02/2020 Nữ lễ tân khách sạn ở TP Nha Trang (Khánh Hoà) bị nhiễm virus Corona (nCoV) đã tiến triển rất tốt, ổn định, đã được đưa ra khu cách ly dành cho bệnh nhân sắp xuất viện. Trong tuần tới nếu kết quả xét nghiệm lần 3 âm tính với virus nCoV thì bệnh nhân có thể xuất viện.
Người Vũ Hán ở Trung Quốc bị kỳ thị, săn lùng như tội phạm 04/02/2020 Nhiều tỉnh, thành Trung Quốc đang đẩy mạnh tìm kiếm, nhận dạng người đến từ Vũ Hán, thậm chí treo tiền thưởng cho người cung cấp thông tin.
WHO khẳng định kháng sinh không có tác dụng phòng chống virus Corona 04/02/2020 Tổ chức Y tế Thế giới (WHO) đã công bố thông tin và khuyến nghị đối với cộng đồng trong bối cảnh dịch bệnh viêm đường hô hấp cấp do chủng mới của virus Corona (2019-nCoV) đang lây lan mạnh tại Trung Quốc, đặc biệt là thành phố Vũ Hán, thuộc tỉnh Hồ Bắc.
Hà Nội lập kế hoạch cách ly gần 950 người nghi nhiễm nCoV 04/02/2020 Bộ Tư lệnh Thủ đô Hà Nội cho biết đã lập 2 cơ sở y tế tại Xuân Mai và Sơn Tây, đủ sức cách ly 950 người từ vùng dịch về cùng lúc.
Nóng 24h qua: Thực hư thông tin bác sĩ gây mê Bệnh viện Chợ Rẫy tiết lộ nơi đây có 33 người chết vì nhiễm virus corona 04/02/2020 Nam thanh niên sửa kết quả xét nghiệm từ sốt xuất huyết sang... dương tính với nCoV, Thêm 1 ca nhiễm virus corona mới được phát hiện... là tin nóng 24h qua.
Bệnh nhân 'thoát' Corona ở Thanh Hóa nói gì sau khi xuất viện? 04/02/2020 Sau khi kết quả xét nghiệm lần hai là âm tính, nữ bệnh nhân quê Thanh Hóa trở về từ Vũ Hán dương tính với virus Corona đã được xuất viện vào sáng nay (3-2).
Phát hiện virus corona trên tay nắm cửa nhà bệnh nhân, cảnh báo những vật dụng quen thuộc dễ trở thành “ổ chứa” 04/02/2020 (Doanhnhan.vn) - Đây là lần đầu các nhà khoa học tìm thấy virus corona chủng mới xuất hiện ở môi trường bên ngoài, tờ People’s Daily của Trung Quốc đưa tin.
Việt Nam rút ngắn thời gian xét nghiệm virus corona từ 10 ngày xuống 24 giờ nhờ mồi đặc hiệu 04/02/2020 (Doanhnhan.vn) - Từ ngày 31/1, Việt Nam đã tiếp nhận mồi đặc hiệu từ WHO, giúp giảm thời gian xét nghiệm xuống chỉ còn 24-28 giờ.
Thái Lan điều trị thành công virus Corona bằng thuốc kháng HIV và thuốc trị cúm 04/02/2020 Một bệnh nhân mắc bệnh viêm đường hô hấp cấp do chủng mới của virus Corona gây ra đã xét nghiệm âm tính sau khi được điều trị bằng thuốc điều chế từ thuốc kháng HIV và thuốc trị cúm.
Virus Corona: Hy vọng có vaccine trong thời gian ngắn 03/02/2020 Các nhà khoa học khắp thế giới đang chạy đua nhằm chế tạo vaccine ngừa chủng virus Corona mới, trong bối cảnh hơn 300 người đã tử vong và hàng chục ngàn người bị nhiễm.
Trung Quốc cấm tang lễ, chôn cất người chết do virus Corona 03/02/2020 Quy định mới của chính phủ Trung Quốc được đưa ra khi đã có 304 người tử vong và hơn 14.000 người nhiễm virus Corona.
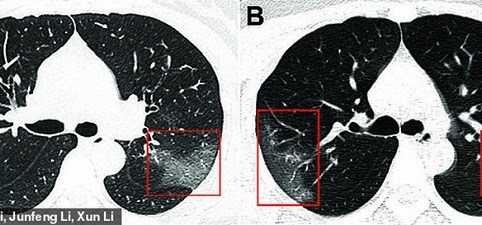
Thấy gì trong ảnh phổi của một bệnh nhân nhiễm virus Corona? 03/02/2020 Các nhà nghiên cứu Trung Quốc vừa công bố ảnh chụp X-quang của một nữ bệnh nhân 33 tuổi, cho thấy ảnh hưởng đáng kể của virus Corona đối với cơ quan hô hấp.
Người thứ 7 nhiễm corona ở Việt Nam đã quá cảnh ở sân bay Vũ Hán 02/02/2020 (Doanhnhan.vn) - Đó là một nam Việt kiều bay từ Mỹ về TP HCM, từng quá cảnh ở sân bay Vũ Hán trong 2 tiếng.